Carlos Akapo colabora a la mala fortuna del Cádiz con su fractura de metatarsianos y va a ser baja al menos dos meses, por lo que se perderá la jornada final de LaLiga de España y no podrá colaborar a la lucha por la permanencia, dejando al Mallorca de Javier Aguirre en ventaja.
Eden Hazard deja a Carlos Akapo con metatarsianos rotos
El Cádiz tendrá baja sensible para la última jornada donde se juega permanencia junto con el Mallorca de Aguirre.
El golpe que sufrió el jugador del Cádiz con Eden Hazard en el enfrentamiento contra el Real Madrid este fin de semana, lo obligó a dejar el campo y el belga recibió la tarjeta amarilla de parte del árbitro Mateu Lahoz.
Esto no es bien recibido por los aficionados del Cádiz, pues no sólo tuvo que dejar el partido, sino que tuvo una doble fractura de dos metatarsianos del pie derecho, por lo que será una baja sensible para el equipo.
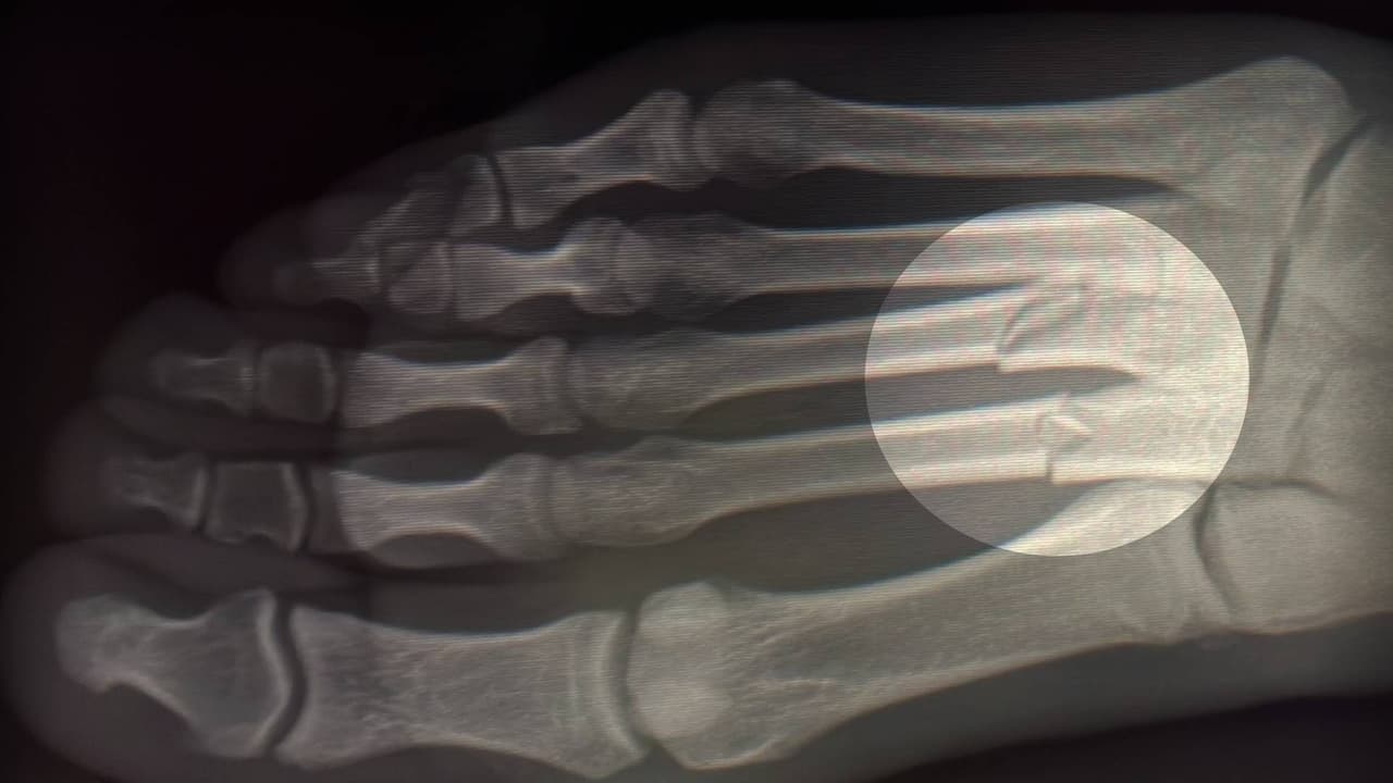
El jugador del Cádiz compartió en twitter la foto de la herida en su pie tras el partido, pero también la radiografía donde se puede apreciar el daño en el que existe fractura desplazada en dos metatarsianos de su pie derecho.
En su mensaje en redes agradeció a la gente preocupada por el incidente y remató: “Ahora toca recuperarse y morir el fin de semana que viene”.

El jugador se refiere a la última jornada de LaLiga de España, pues aunque de alguna forma dependían de sí mismos para quedarse en la primera división de LaLiga de España, el empate abrió las puertas al Mallorca de Javier Aguirre que se acercaron en la pelea con la victoria de este domingo y los desplazaron.
Con Akapo lesionado, el Cádiz no va a poder contar con una figura importante que les permita competir mejor en la fecha que es la vida o el descenso.
Con igual número de puntos, 36, la ventaja del Mallorca es que tiene 9 ganados, 9 empatados y 19 perdidos, mientras que el Cádiz tiene 7 ganados, 15 perdidos y 15 empatados.
El próximo domingo jugarán sus encuentros para definir la permanencia a puntos https://www.tudn.mx/liga-espanola/javier-aguirre-ya-conoce-su-cita-por-la-permanencia-del-mallorca, por lo que el ganador necesita que el otro pierda para poder quedarse o descender de LaLiga de España.
---
Para más información de Deportes, Noticias, Películas, Series y Entretenimiento, todo el día y todos los días, visita ViX, la mejor plataforma de streaming en español.
https://bit.ly/3rhrVik








